Skip to main content

Make an appointment (02) 4588 6933

3/58 March St,Richmond

Trusted dentist in Richmond NSW, providing same-day crowns, dental implants, clear aligners, and comprehensive family dental care using advanced digital technology.

alt="digital dentistry3D scan same day crowns invisalign Richmond NSW

TLC dentists - a clearer and more focussed way to provide dentistry

TLC Dentists is your family dentist in Richmond NSW Australia.  


TLC dentists are at the forefront of digital dental technology in Australia, functioning as a teaching and observation clinic for robotic CEREC dentistry and Primeprint 3D printing. This enables us to deliver the most reliable care, with convenient and value-driven treatments to all our patients.

With 5 of the experienced dentists having between 15 to 25 years in this same practice, led by Dr Eugene Lee - clinician and a leading Australian educator in digital and AI dentistry, we provide care that is consistent and long term.  


We are a family owned and run practice with next generation dentist in the family already primed to join.  TLC dentists accept but are independent of Health Insurance and are not a preferred provider.  This allows us to benefit our patients as our first priority. We provide same day emergency dental treatment with 3 emergency spots every day.


Over 25 years, we have had the privilege of making dental care predictable, comfortable, and built to last, for multiple generations within the same families. We service the whole of the Hawkesbury region including Richmond, Windsor, North Richmond, Kurrajong, Bowen Mountain and surrounds.

TLC Dentists takes pride in being one of the seeder clinics for one of the largest global dental supply companies, allowing us to be the first to offer the most advanced, patient-centered dental care right here in Richmond, NSW.


Digital systems allow treatment to be designed with clarity and consistency. Most dentistry still reacts to problems once they appear.

We aim to see earlier, plan more carefully, and reduce unnecessary steps. 


Intelligent Digital Dentistry allows:

  • Fewer visits.
  • Clear treatment plans before anything begins.
  • No unexpected changes mid-treatment.
  • A calmer, more predictable experience.


We have access to the best methods and equipment in dentistry in the world and are privileged to be able to always provide this for the benefit of our patients.


FOLLOW US ON

Payment Plans - Health Funds accepted - SLeep Sedation dentistry - Superannuation - Veteran Affairs Card Holders - Medicare Childrens' schemes

SERVICES

Preventive dentistry is our focus, using 3-D digital scans of your teeth also with 3-D x-rays and predictive AI is available to be used when required. This technology allows any problems to be detected and resolved  earlier.

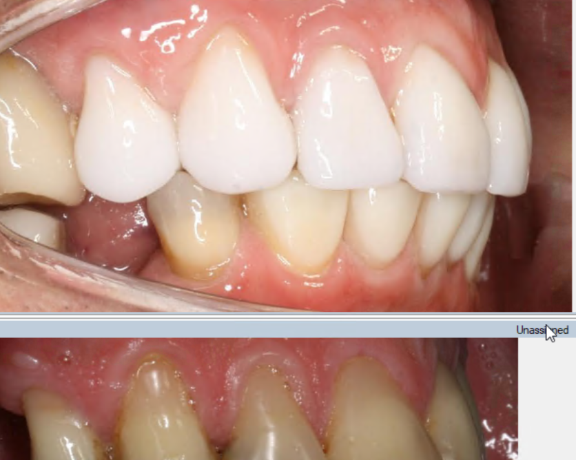
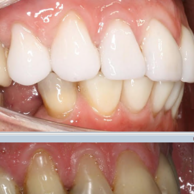
Same-day crowns mean  fewer appointments and  less disruption to your week. This allows the rebuilding of previously unsaveable cracked teeth using the most advanced  reconstruction CEREC technology in the world. This utilses 7x strength Tooth Helmet design and materials.  After 10 years - 99.6% Tooth Helmet crowns ever made are still in place  in our patients.

Whiter straighter stronger front teeth in a single half day appointment using 4x strength veneers for controlled, natural results.


We also place keyhole  implants and and make dentures that are firstly designed for function and also aesthetics.

We are certified in Clear Aligners such as Invisalign, Angelaligner and Suresmile and also certified to use traditional orthodontic Braces. We straighten teeth efficiently and conveniently for kids and adults using jaw growth expansion and mobile phone scanning to monitor movements meaning simpler straightening with fewer visits.

Meet Our Team

DENTIST

DEN0001178611

BDS(Syd), PGradDipDigitalOrtho(UK), GCertMgt(UTS), FICCDE,

Convenor Mastering Primeprint PiMP lectures, Lecturer in Digital dentistry, 3-D printing, CEREC masters program, and AI in dentistry, Key Opinion Leader for Dentsply-Sirona

Dr Jacqueline Tang

DENTIST

DEN0001621013

BDS hons (Syd)

Medal for Prothodontics

University of Sydney

Dr Winston Lee

DENTIST

DEN0001247445

BDS hons (Syd)

Dr Joyce Lau

DENTIST

DEN0001308251

BDS hons (Syd) FRACDS

Dr Antonio LEE

DENTIST

DEN0001069119

BDS hons (Syd) GradDipClinDent -Sedation

Dr MErline Thomas

DENTIST

DEN0002073277

BDS

Ms Ashleigh Brodbeck

PRACTICE MANAGER

DipPracticeManagement, Cert DA, Cert Radiology

Ms THu-HA Giang

DENTAL TECHNICIAN

BDS, BOralHealth(New), Certified Dental Technician, Triple qualified

MS Grace Richards

CLINIC CO-ORDINATOR

DIGITAL → INTELLIGENT DENTISTRY

LEADERS IN DIGITAL DENTISTRY - NOW LEADING WITH AI

Digital dentistry improved how treatment is performed.

The next step is more subtle — and more significant.


Systems are beginning to:

        detect changes before they are visible

        monitor progression continuously

        suggest timing and adjustments based on data


This does not replace clinical judgement.

But it supports how that judgement is formed.

Dentistry is moving from:

doing → deciding → being guided


From isolated appointments → to continuous understanding

From static records → to evolving insight


This is the beginning of intelligent dentistry.


What is Intelligent Dentistry?

Intelligent Dentistry means:

    • Using digital scans instead of impressions
    • Planning treatment before touching the tooth
    • Minimising unnecessary procedures
    • Prioritising long-term outcomes over quick fixes


What is digital dentistry?

Digital Dentistry uses 3D scanning and computer-guided planning to improve accuracy, reduce guesswork, and often complete treatment faster.


How do we think?

  • We plan before we treat
  • We reduce uncertainty before starting
  • We prioritise conservation over intervention
  • we use technology only when it improves outcomes


What makes TLC dentists different?

TLC dentists focuses on intelligent dentistry - combining digital technology with careful clinical judgement to deliver predictable, long-term outcomes for the families of the Hawkesbury.


Can I get crowns in one day?

Yes. With CEREC technology, many crowns can be designed, made, and fitted in a single appointment.


DR EUGENE LEE

Dr Eugene Lee is a clinician and renowned educator in digital dentistry.


He teaches advanced digital workflows to other dentists around Australia and works closely with emerging technologies, including AI-assisted systems.


His focus is not only how dentistry is performed —

but how it is beginning to be understood and guided by evolving AI systems.


This long experience is integrated into everyday trust and care for generations of Hawkesbury families, combining long-term clinical judgement with more informed systems.


WHAT THIS MEANS FOR YOU

        Earlier detection of problems

        Fewer unnecessary visits

        Treatment guided by more complete information


Dentistry should feel considered, consistent, and predictable.

Make your appointment now